







15+ Years Of Experience
5 / 5




15+ Years Of Experience
5 / 5


Digital
Treatment Planning
Digitally Driven
Clinician-Led. Built for Surgical Success.
Elevate every implant case with 3Sixty’s AI-enhanced treatment planning led by experienced dentists and powered by a fully integrated digital workflow. From diagnosis to surgical guide design, we combine clinical insight with cutting-edge tech to ensure every detail is optimized for surgical precision and prosthetic success.
Why Choose 3Sixty for Treatment Planning?
Clinicians Planning for Clinicians
Unlike labs that rely on technicians, 3Sixty’s planners are practicing dentists with real-world surgical experience. They understand not just the plan, but also the execution, and collaborate with you as peers to design workflows that work in the operatory, not just on a screen.




Intelligent, Prosthetically Driven Planning
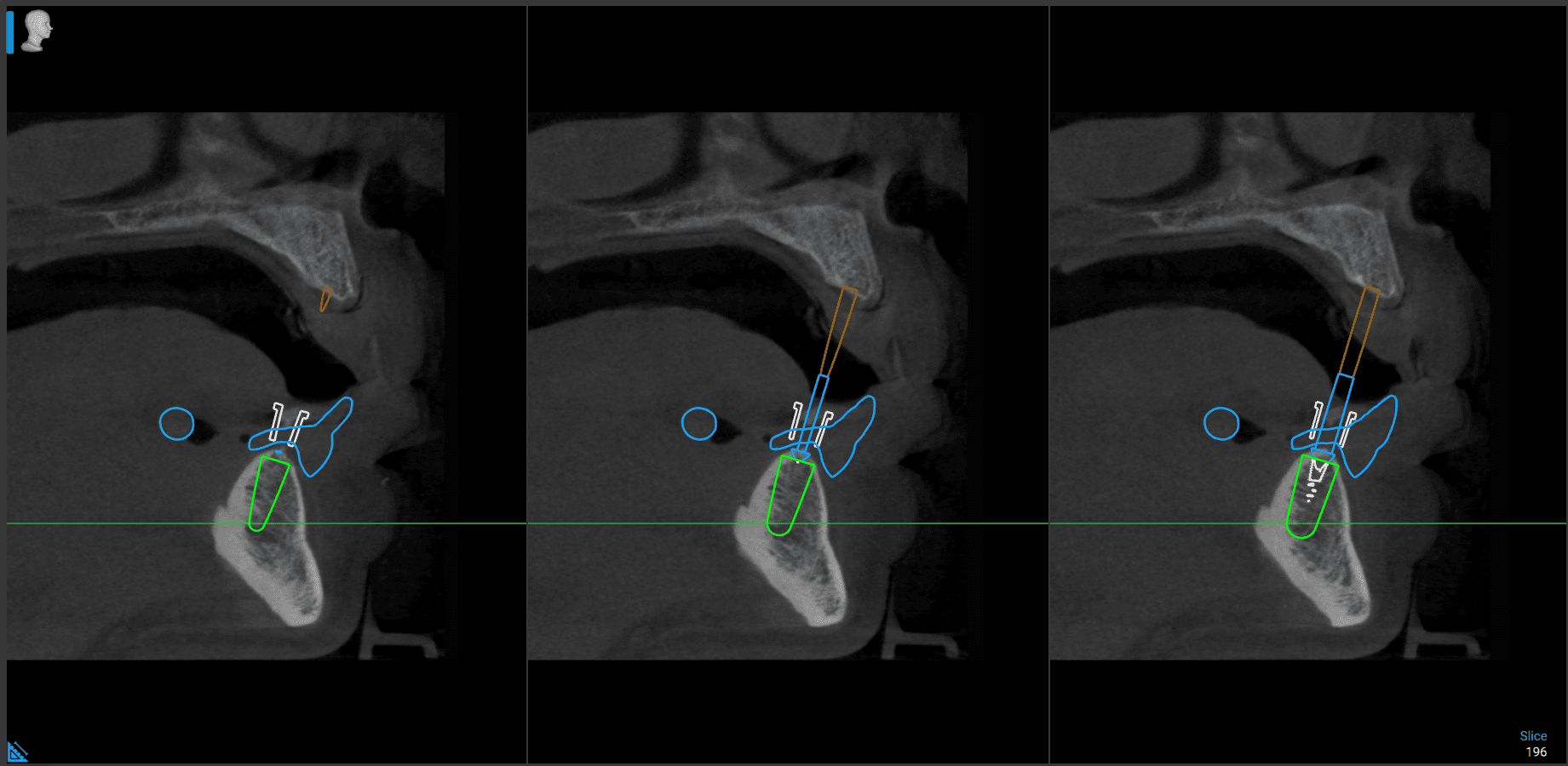
We merge CBCT scans, IOS files, and clinical records to create comprehensive, prosthetically guided plans. Every implant is positioned with anatomical awareness, surgical feasibility, and restorative intent from the outset.
Fully Integrated Digital Workflow
Drill guide design and digital approvals
Drill guide design and digital approvals
Prosthetic setup and occlusal planning
Prosthetic setup and occlusal planning
Surgical protocol development
Surgical protocol development
Radiographic & intraoral scan merging
Radiographic & intraoral scan merging
Anatomical analysis and nerve mapping
Anatomical analysis and nerve mapping
Smarter Planning, Smoother Surgery
Our digital-first workflow simplifies even the most complex implant cases; saving time, eliminating guesswork, and reducing chairside stress.




Collaborate with Experts, Not Just Technicians
When timelines are tight and precision matters, you deserve to plan with professionals who understand every phase of the case. Our team approach ensures seamless coordination between you, your lab, your surgical team and us.
Meet the Team!

Dr. Sohair Magdy
Dental Team Leader

Dr. May Hamed
Dental Team Manager

Dr. Ahmed Hesham
Dental Team Leader

Dr. Loay Khaled
Senior Dental Treatment Planner

Dr. Salma Mohsen
Senior Dental Treatment Planner

Dr. Youstina Nagi
Senior Dental Treatment Planner

Digital
Treatment Planning
Digitally Driven
Clinician-Led. Built for Surgical Success.
Elevate every implant case with 3Sixty’s AI-enhanced treatment planning led by experienced dentists and powered by a fully integrated digital workflow. From diagnosis to surgical guide design, we combine clinical insight with cutting-edge tech to ensure every detail is optimized for surgical precision and prosthetic success.
Why Choose 3Sixty for Treatment Planning?
Clinicians Planning for Clinicians
Unlike labs that rely on technicians, 3Sixty’s planners are practicing dentists with real-world surgical experience. They understand not just the plan, but also the execution, and collaborate with you as peers to design workflows that work in the operatory, not just on a screen.


Intelligent, Prosthetically Driven Planning
We merge CBCT scans, IOS files, and clinical records to create comprehensive, prosthetically guided plans. Every implant is positioned with anatomical awareness, surgical feasibility, and restorative intent from the outset.
Fully Integrated Digital Workflow
Drill guide design and digital approvals
Prosthetic setup and occlusal planning
Surgical protocol development
Radiographic & intraoral scan merging
Anatomical analysis and nerve mapping
Smarter Planning, Smoother Surgery
Our digital-first workflow simplifies even the most complex implant cases; saving time, eliminating guesswork, and reducing chairside stress.


Collaborate with Experts, Not Just Technicians
When timelines are tight and precision matters, you deserve to plan with professionals who understand every phase of the case. Our team approach ensures seamless coordination between you, your lab, your surgical team and us.
Meet the Team!

Dr. Sohair Magdy
Dental Team Leader

Dr. May Hamed
Dental Team Manager

Dr. Ahmed Hesham
Dental Team Leader

Dr. Loay Khaled
Senior Dental Treatment Planner

Dr. Salma Mohsen
Senior Dental Treatment Planner

Dr. Youstina Nagi
Senior Dental Treatment Planner
See how it works live
See how it works live
See How it Works Live!
Simplify
Implant Cases and Save Time




Simplify Implant Cases and Save Time
Plan Smarter. Place with Confidence.
Plan Smarter. Place with Confidence.
See how 3Sixty's dentist-led planning service can streamline your implant cases and redefine your restorative workflow.
Start Working with 3Sixty
Start Working with 3Sixty
Ready to streamline your workflow? Submit your case, ask a question, or explore partnership options — our team will get back to you within one business day.